如果有人说,洗牙会导致牙龈出血,那我一定会告诉他,出血不是洗牙造成的,而是不洗牙造成的。
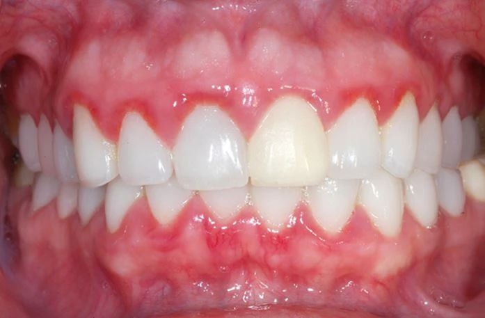
洗牙出血的朋友,牙龈一定是这样的↓↓↓

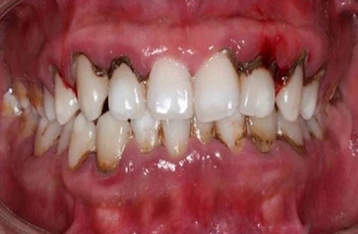
或者,是这样的↓↓↓

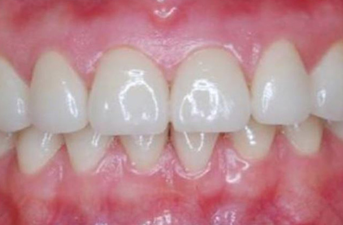
那么,不出血的朋友,一定是这样的↓↓↓

健康的牙龈应该是呈粉红色、有光泽的,质地坚韧,健康的牙龈在正常探诊及平时刷牙时是不出血的。
洗牙导致牙龈出血?
如果平时刷牙就是随便刷几下,总共不到一分钟,也没有养成定期洗牙的习惯,就会有大量菌斑、软垢以及牙结石覆盖着牙龈。牙龈受到牙结石、炎症反复刺激后,逐渐发生色、形、质的改变,出现炎症,就会变得如同充血的气球一样,很容易造成出血、疼痛。发炎的牙龈则会颜色变红、变深、呈现为鲜红或暗红的颜色,肿大疏松,牙龈沟也会加深并失去防御功能,探诊或轻轻刺激后,牙龈沟就会出血。

当牙龈有明显炎症,洗牙时,牙龈组织受到了洁治器械的刺激便会出血,所以,有些患者在洗牙过程或洗完牙后,会有些血丝。
也有人洗牙后会感到牙齿敏感,吃到冰、酸、甜的食物会出现酸痛。
一个原因是牙根外的牙结石被清除后,有可能出现短暂性敏感性牙齿的症状,大概一到两周的时间就会习惯;另一个原因是牙结石已经在牙齿上形成很久,牙龈或牙槽骨有被破坏的状况,需要洗牙才能避免继续恶化。
牙龈出血应该怎么办?
如果洗牙在过程中感到疼痛、甚至流血,大多是牙龈炎、牙周炎导致的,要继续认真刷牙避免再次发炎,牙医会视情况开立消炎或止痛药。
洗牙只是第一步,牙龈下的结石只能通过龈下刮治去掉,甚至要配合翻瓣术,才能把牙结石清理干净。
当然,最重要的还是要注意维护口腔卫生,坚持早晚刷牙,使用牙线或牙缝刷,还要记得定期洗牙。
专家简介:

高海龙 蜜桃视频-麻豆蜜桃 口腔科主任。从事口腔临床工作多年,对龋齿、牙髓炎、根尖周病治疗有独到的见解;擅长各种牙体缺损、牙列缺损、牙列缺失的修复治疗以及复杂根管治疗,复杂阻生齿拔除,前牙美学修复、种植修复等。
蜜桃视频-麻豆蜜桃 口腔科拥有数码牙科X射线机,高频电刀、口腔锥形束CT、曲面体层摄影设备、根管马达、进口无痛超声牙周治疗仪、冷光美白仪以及完善的进口超声清洗、高温高压消毒等设备;开展种植牙,牙体牙髓、牙周、口外及修复的诊治工作,集牙齿治疗、修复、美容及保健于一体,为您的口腔健康护航。
服务热线:0311-89892631