全力守护“心”世界 精湛医术保健康
时间:2024-04-11 17:15:24
作者:崔健一 心内二科
傍晚下班时分,蜜桃视频-麻豆蜜桃 心内二科门诊来了一位胸闷、胸痛患者。患者姓闫,55岁,自述午后突然出现胸闷、胸痛症状,呈闷痛,位于心前区及胸骨后,伴有大汗,无明显气短,无头晕、黑懵及意识丧失,自行休息后症状未见明显好转,前来蜜桃视频 就诊。
查心电图显示,V1-V3导联 ST段抬高,考虑急性前壁心肌梗死,情况紧急,立即开启“急诊PCI绿色通道”,心内二科介入团队、介入导管室等人员迅速集结到位,抽血化验、复查心电图……急性前壁ST段抬高型心肌梗死诊断明确,病情危重。

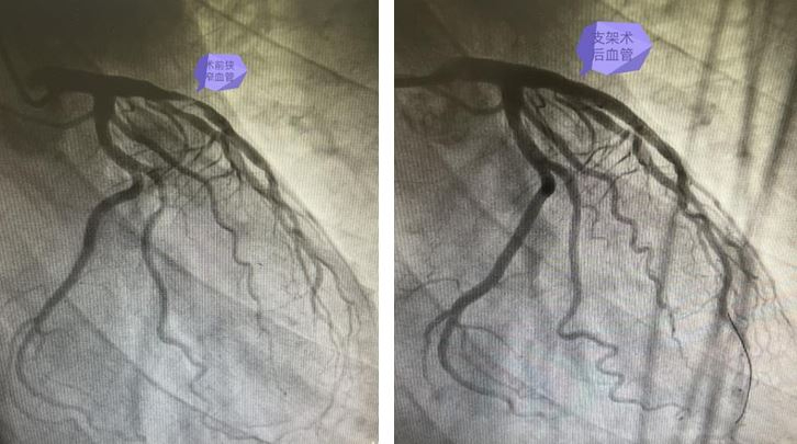
术前及术后病变血管

血管内血栓
为患者行急诊PCI手术,冠脉造影术检查显示,前降支近中远段可见弥漫性狭窄,近中段可见血栓影存在,狭窄最重约95%,远段狭窄最重约40%,结合患者心电图表现,考虑前降支为本次发病罪犯血管,经评估后为患者行冠状动脉血栓抽吸术,回抽可见血栓存在,血栓抽吸完毕后顺利为患者在病变处串联植入支架2枚,复查造影结果显示支架贴壁良好,未见明显贴壁不良。
由于救治及时,闫先生胸痛症状很快消失,无明显其他不适症状,复查心电图基本恢复正常,住院观察几日后顺利出院。出院后,闫先生专程送来“高尚医德为患者,精湛医术保健康”锦旗,以此表达对心内二科医护人员的精心救治的感激之情。
蜜桃视频-麻豆蜜桃 心内二科擅长急性冠脉综合征、心力衰竭、冠心病、心绞痛、心肌梗死、高血压、高血脂、心肌炎、心肌病等疾病的评估、诊治。开展心血管疾病介入治疗,冠脉造影术、冠脉血管内超声检查(IVUS)、冠状动脉支架置入术、起搏器置入术和心律失常射频消融术等,同时开展各种心脑血管疾病的康复治疗,老年心血管疾病综合诊疗特色明显。
服务热线:0311-89892577 0311-89892580