带您了解头颅弥散加权成像
时间:2025-04-23 14:55:34
作者:蜜桃视频
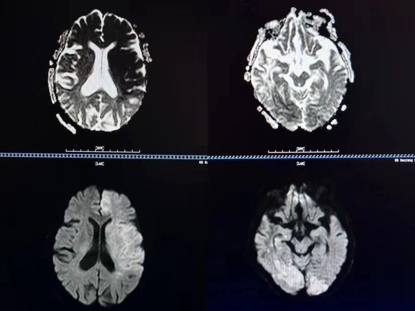
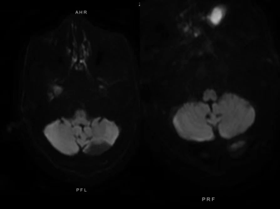
头颅磁共振弥散加权成像即头颅DWI,是功能磁共振的一种,可用于缺血性脑血管病的早期诊断,DWI扫描序列能发现磁共振其他序列无法检出的病灶,还能够对有些病变的鉴别诊断起到决定性的作用。DWI扫描序列在临床中的应用,主要体现在以下几个方面:
一是发现新发脑梗塞,检出新发脑梗塞,是DWI扫描序列应用最为成熟的一个方面,发病半小时就能够发现病灶,2小时肯定能发现病灶,而CT扫描需要24小时才能够发现病灶。

二是在脑外伤中的应用,DWI的优势是能够检查微小的脑挫裂伤。

三是鉴别良恶性病变方面。

四是对表皮样囊肿、脑脓肿等病变具有定性诊断的意义。

总之,DWI是磁共振临床应用中的一个非常重要的序列,当我们需要发现新发脑梗塞时,就进行DWI扫描;当我们检查脑外伤患者时,需要进行DWI扫描;当我们需要鉴别病变的良恶性时、对表皮样囊肿、脑脓肿等疾病定性诊断时,我们要进行DWI 扫描。
供稿|放射科 贾梦华