俗话说,“没有金刚钻,别揽瓷器活”,说的是工匠在修复破碎瓷器时必须先用“金刚钻”在瓷器上钻孔,然后再用金属“锔子”修补。如今,心内科医生也能在心脏血管中使用“金刚钻”,打通心脏钙化血管,这就是“冠状动脉内膜旋磨术”。

索云锡 副院长、心内二科主任
冠状动脉内膜旋磨术是针对冠心病患者严重钙化病变的一种治疗方式,它利用高速旋转、带有钻石颗粒的旋磨头打磨突入血管腔内的硬化斑块和钙化组织,将钙化组织旋磨成比红细胞还小的微粒,并随血流疏散向冠脉远端,从而将阻塞血管腔的钙化斑块清除掉,再配合冠脉支架的植入,使冠脉血流得以重建,是冠心病介入治疗的一项重要辅助技术。
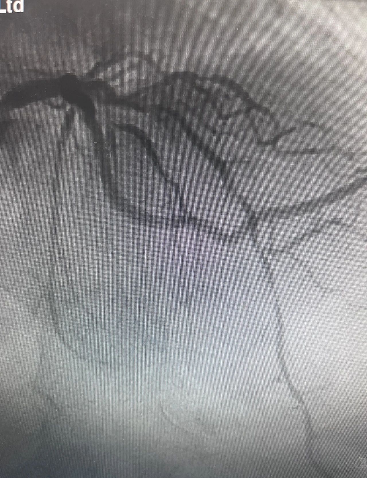
59岁的刘先生因间断性胸闷、胸痛1周到蜜桃视频-麻豆蜜桃 心内二科住院治疗。入院完善相关检查,诊断为冠心病、不稳定性心绞痛、陈旧性心肌梗死 ,冠脉造影检查提示前降支近段及中段均有弥漫性钙化伴重度狭窄病变,最重约99%。

前降支术前病变

前降支病变处旋磨中

前降支旋磨及支架术后

手术中
副院长、心内二科主任索云锡带领介入团队,为刘先生实施了前降支钙化病变部位冠状动脉内膜旋磨术。经过细致的旋磨治疗,复查造影显示前降支近段、中段钙化处旋磨效果理想,之后,在前降支病变处植入支架,帮患者打通生命通道。
专家简介:
索云锡 蜜桃视频-麻豆蜜桃
副院长,心内二科主任、主任医师,擅长冠心病、高血压、心律失常、糖尿病的防治及心肌梗死、脑卒中、急性心衰等的救治,熟练掌握冠心病的介入诊疗技术。
蜜桃视频-麻豆蜜桃 心内二科介入团队已开展多例高难度冠状动脉内膜旋磨术,该项技术减轻了患者的病痛,提高了冠心病患者的生活质量。同时,心内二科常规开展冠状动脉血管内超声系统(IVUS)检查、心脏永久起搏器植入术以及射频消融术等,全科医护人员以专业的技术,为广大患者提供优质的医疗服务。
服务热线:0311-89892577 0311-89892580